来源:德懿堂中医皮肤病医院 
德懿堂中医皮肤病医院提供免费咨询、挂号服务
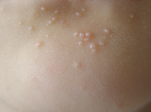
传染性软疣,俗称“水瘊子”,是由传染性软疣病毒感染所致的传染性皮肤病,儿童多见。典型的皮损为3-5mm大小的半球形丘疹,呈灰色或珍珠色,表面有蜡样光泽,中央有脐凹,内涵乳白色干酪样物质即疣状小体。搔抓后,皮损可沿着抓痕呈条状或串状排列,称同形反应。

1,鉴别诊断
传染性软疣根据典型的临床症状很好诊断。但要和以下皮肤病鉴别。
(1)黄瘤病,这是一种由于含有脂质的组织细胞和巨噬细胞局限性聚集于皮肤或肌腱,表现为黄色斑片或丘疹,结节的一组皮肤病,常伴有全身性脂质代谢紊乱。
(2)马拉色菌毛囊炎又称糠秕孢子菌毛囊炎,皮损为炎性毛囊性丘疹或丘疱疹,半球形,直径为2-4mm,周边有红晕,可剂出粉脂状物质,常数十个至百个密集或散在分布。
传染性软疣
2,治疗
局部治疗方法多种多样,如:挤疣、刮疣、冷冻、激光、火针、特效外用;还可以选择局部外用药物,包括角质剥脱剂、细胞毒药物、局部免疫调节药等等。根据患者的面积、部位、皮损大小、皮损密集程度等选择适宜的方法。单纯外用药物治疗周期较
长疗效不确切,治疗中对药物的使用部位、使用频次及用量有严格要求,所以必须在专科医师指导下用药。
传染性软疣是一种常见皮肤病,但一些顽固的患者单一治疗方法往往难以取得满意疗效。因此治疗时应遵循系统治疗与局部治疗相结合口服药物的原则才会收到满意疗效。加强营养和锻炼,提高身体免疫力。
3,预防
1、 集体生活应注意消毒衣物,幼儿园患儿应隔离,禁止使用公用衣物,如毛巾、衣服等。
2、 注意个人卫生,勤洗澡、换衣,被褥应经常日晒。
3、 不要挠抓患处,洗澡勿用尼龙搓澡巾或毛巾搽皮肤,以免损害皮肤引起自身接种扩散。
4、 早发现、早治疗,避免全身泛发。
5、 患儿不要到公共场所游泳,以免传染给其它健康儿童。
(本网站已加密,绝对保障个人隐私)