来源:德懿堂中医皮肤病医院 
德懿堂中医皮肤病医院提供免费咨询、挂号服务
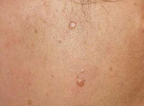
寻常疣已经不再是一种不再是鲜见的疾病了吧,寻常疣是一种皮肤良性肿瘤,病原体为人类乳头瘤病毒。好发于手指、手背、足缘等处,该疾病严重时会影响生活质量。所以,大家就要关注一下寻常疣都有哪些的预防要点了,那么生活中要如何预防寻常疣呢?现在来看看这些要点吧。

1、日常生活中要注意个人卫生及环境卫生,养成良好卫生习惯勤洗手、洗澡、勤换衣物等,保持室内的环境卫生及通风良好,这样可避免病毒滋生,预防疾病的发生。
2、卫生器具要经常消毒,定人定物,防止交叉感染。身体抵抗力低下者,需加强锻炼,提高身体素质,增强抗病能力。积极锻炼身体,增强体魄,提高身体抵抗力,才能抵御疾病的攻击。
3、注意防护,避免外伤及皮肤破损,对皮肤粘膜破损处应妥善处理,防止病毒乘虚而入。外伤感染也是可以诱发该病的,为了健康,一定要保护好自己,防止受伤。
4、已发生寻常疣者,不宜搔抓,应及时到专科医院接受治疗,以免自身接种传播。这种病的传染性是非常强的,可以自身接种传染也可以传染给其他人,一定不能搔抓患处,请及时到正规的医院进行治疗。
5、想要做好寻常疣病的预防,应注意个人及环境卫生,做到勤洗手洗澡等,避免接触病毒,感染寻常疣的发生。
6、慎用外用激素类药物,主要用于治疗皮炎湿疹类疾病,如用于扁平疣,会抑制皮肤的免疫反应,降低抵抗力,无异于火上浇油,会使疣体短期内迅速发展。
7、如果有家人患上寻常疣疾病,要做好隔离工作,像是一些日常用品毛巾、脸盆等都要分开使用。定期进行家里的消毒通风等。家人一定要和患者的生活用品分开使用,防止细菌感染。
预防寻常疣的知识就介绍到这里了,希望大家都能够利用好这些预防知识。对于该类疾病,日常生活中更要注意生活的护理,应该合理的用药,遵从医生的而用药指导。
(本网站已加密,绝对保障个人隐私)